ご紹介する症例はすべて当院で治療した一部です。
病院で経過観察 経験豊富な整骨院でリハビリを受けましょう!きっと納得していただけると思います
☑病院での診察はレントゲンと経過観察のみ
☑リハビリで医療マッサージをしてくれない
☑関節の動きが十分回復していないのに治療が終了
☑骨の経過ばかりで日常生活の不自由を聞いてもらえない
☑ギプス固定が体にマッチしていない、当たって痛い
☑骨折の部位ではなく周囲の筋肉、関節が辛くなった

●右鎖骨骨折
当患者さんは手術療法に強く抵抗があり当院での保存療法を選択されました。
骨折部位の短縮転移があたので整復操作が必須になります。運よく短縮転移が矯正されたので保存療法で経過をみました。暑い時期だったので来院の度に固定を外し体を清拭して施術後、新しい下着の上から再度固定をする運びになりました。
骨折部位には超音波、患部以外の所は関節運動、経過を見て軽いマッサージを開始。固定も少しずつ簡易な物へ変更し二カ月後には三角巾のみ、三ヵ月経過すると肩関節の挙上もできるようになりました。
経過良好で完治しました。
左のレントゲンは短縮転位 (受傷時) 右は整復操作をして骨片が重なり合っている状態
整復後包帯と装具で固定。当初は週に2、3回来院してもらいその都度固定は取り外し、体を洗いました。
通常整形外科では取り外しも清拭もしないので暑い時期は患者様には試練です。ストレスは悪影響をもたらします。
局所には超音波治療を施し浮腫みのある指、肘はマサージににより軽減に努めました。6週ほど固定しましたが、各週ごとに固定を楽にしていくのでかなりストレスを軽減できたと思います。3か月目には肩を挙上できるまでになり、筋力強化運動により完治しました。

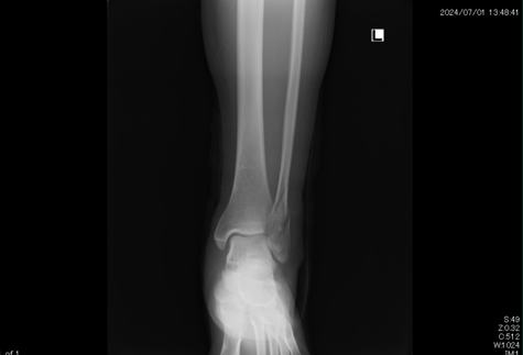
●左腓骨遠位端骨折
足首を捻り外側の骨 足首に近いところを骨折をしてしまいました。整形外科での診断後 手術の予定が決まりそれまでの間シーネ固定することになりましたが、手術療法に不安があり保存療法(自然療法)をインターネットで検索中当院のホームページにたどりつきました。
実は患者さんは他府県に住まれていたので近隣の他の整形外科でセカンドオピニオンを得ることを提案しましたが、どこの先生方も手術療法をすすめました。
結果的に2時間以上かけて当院に来院。保存療法で治療することになりました。コンパクトな固定ギプスと患部の血行を促進 超音波治療により腫れも痛みも軽減。経過良好でした。
4か月後には予定していた巡礼の旅 50kmの道を完歩することができました。なによりも手術の痕を残さず自然療法で完治したことに喜んでもらえました。

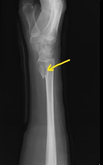
〇右前腕骨骨折(スミス骨折)
自転車で転倒し手をつき手首を骨折しました。
病院でレントゲン検査の結果、3か所の骨折が認められました。
後日手術の予定が組まれ,全身麻酔下で行うことを聞かされた時に非常に困惑し、セカンドオピニオンとして手の専門外科に相談に行かれました。
ここでも手術療法が妥当だと日程を組むことになってしまいました。
手術をしないで治ることはできないかとインターネットで調べ当院を知り相談に来られました。
骨折により保存治療が出る場合と手術療法が必須の場合があります。
しかし最近では一般的な骨折(転倒などにより起きる定型的な骨折)でも積極的に手術を勧められるケースが多くなってきています。特に総合病院では手術の傾向があるように思われます。
確かに骨折部位をプレートとビスにより内固定すれば強固な固定ができますが、患者さんのリスクとQOLの低下はどのようなところにあるでしょうか? 細かな説明がなく術後の経過観察はレントゲン検査の結果のみで評価し、日常の問題をよく聞いてもらえません。リハビリは理学療法士に任せ、術後の処置は看護師の役割になっています。
今回事情を聴き、整形外科の先生と相談をし当院で処置と経過観察をすることになりました。
整骨院の従来の固定法である副木(シャーレ)と包帯を駆使して患者さんに負担の少ない固定をしました。
毎日 固定具を外し患部の浮腫の除去、血行維持、清拭、超音波治療を行います。固定具に不自由があれば
修正をしました。 このように毎日患者さんに触れ、不安を聞くことにより自律神経も安定し良い結果につながるのです。
経過は非常に良好で転移(骨のずれ)もなく約2か月で薬剤師の仕事に復帰されました。

〇左前腕骨骨折(スミス骨折)
4件の整形外科をめぐり最終的に当院の保存治療を選択されました。
一件目の整形外科では足が専門なので断られシーネと包帯をしてもらいました。次に訪れた整形では手術が必要と大学病院を紹介
大学病院ではレントゲンの確認後、患部の手を触ることなく手術の日程を入れられました。手術に不安があった患者さんはインターネットで調べ手の専門整形外科を訪れました。そこでも手術を勧められ明日にでも処置をすると予定を強要されました。
しかし患者が不安を抱くのは手術だけではありません。どの医師も患部を診た触ることなしに当初巻かれた包帯のままでレントゲンを見るだけでした。そのため当初の包帯はぐじゃぐじゃ。たとえ手術の予定を入れたとしても包帯の巻きなおしが必要だったのではないでしょうか? これでは信頼できません。
当院はインターネットで知り来院されました。本人の強い意志と希望により当院で保存的に治療しています。経過は良好です。

〇前腕骨遠位端骨折
当症例も手術の日程が決まっていましたがインターネットで当院を知り遠くから相談に来らました。
レントゲンとCTを見させてもらいましたが、骨折に伴い第三骨片がはみ出しています。
患者さんンは全身麻酔に抵抗があり、どうしても避けたいとのことでした。
当院で治療するとなると、当初は毎日来院していただき固定を
確認 血行障害を防ぎ 患部の清拭 超音波治療 動かせる指の
運動療法を行います。
ご住所をお聞きしたところに私の信頼する先生のご近所だったので、保存療法を希望している旨をお伝えして経過観察をお願いしました。
2か月経過したころ当院に戻られ今後のマッサージ リハビリを希望されました。
手術はしませんでしたが経過は良好です。

〇右鎖骨骨折
病院で手術の日程が決まっていましたが、保存的治療を希望されので当院で固定と経過観察をしました。(セカンドオピニオンとして整形外科医を紹介し同意)
骨折部位の転位がありますが正しい固定と注意深い経過経過観察、固定時期から積極的に周囲の血行を保つことにより経過良好で完治しました。
数多くの鎖骨骨折を診てきましたが、転位はひどくても正確な固定が維持できれば、かなりの成果があげられます。
今までに偽関節等で再度手術になった方はいらっしゃいません。
ちょうど暑い季節だったので、毎回固定を外し体をボディーソープで清拭しました。持参の下着に着替えてから再固定をしたのでストレスが少なかったと思います。

〇鎖骨骨折
自転車で転倒し鎖骨を骨折しました。
整形外科でギプスをアメリカンフットボールの選手のように巻かれ二週間後に来院するように言われました。
真夏の暑いときに取り外しのできないギプスは苦痛です。しかもギプスと皮膚の間はアンダーラップ(薄い綿)で巻かれただけなので皮膚に食い込み痛みで夜も全く眠れない状況でした。
二日後我慢ができず当たって痛い部分を取り外してもらおうとお願いしたところ、ギプスを半分にしてくれましたが責任は持てないと、患者さんを叱責しました。患者さんと医師との信頼関係が失われました。
当院では数多くの鎖骨骨折を見てきましたが、非常に経過の良い症例だと思います。
病院ではすぐに手術することがほとんどです。プレートとビス固定は骨だけを見れば強固な固定はできますが、数か月後にはプレート除去の苦痛 大きな傷跡が残るリスクもあります。日本では少ないですが麻酔、感染症の問題も否定できません。
当院では整骨院の従来の固定術 包帯固定で鎖骨骨折は治療しています。
毎日患部を観察 来院時は下着を持ってきてもらい着替え 清拭もします。
当患者さんも暑い季節だったので、気分もよくなり夜も眠れるようになりました。
経過は非常に良好で2か月でほぼ日常生活に戻ることができました。

〇鎖骨骨折
自転車で転倒し肩から転落しました。
こちらの症例は病院で骨折が確認されましたが、三角巾のみで特に固定の処置はありませんでした。
医師は安静の指示だけでその他の説明なく、しかも無理をすると手術になると言い残しました。
痛みと不安に駆られた患者さんはインターネットで当院を知り相談に来られました。
本人は何かの拍子に骨がずれて手術をしなければならないことになると、不安で夜も眠れない状況でした。
このような状態は交感神経が更新して血行不良を
起こす可能性があります。
当院では通常の包帯固定をしました。ほぼ毎日来院してもらい処置と患者さんの日々の訴えを良く聞き不安の払拭に努めました。
医師から言われた骨のずれが、頭から離れないまま6週ほど経過すると骨折部位の圧痛は消失し経過は良好でした。リハビリは温熱療法とマッサージ 運動療法が主になりますが少し痛みを伴います。毎日少しずつ関節の動きを広げていきます。
固定期間に萎縮した筋力低下は術者との拮抗運動で力をつけていきます。リハビリの時に痛みを感じると骨のずれをイメージされ心配される方がいます。そのような時、患者さんの誤解についてお話しします。
患者さんは骨折と診断されると骨がつながると痛みも取れすべてが治ると思い込んでいますが、それは違います。病院で再診を受けるたびに骨の状態ばかりを告げられるためでしょうか?
実は転倒した時に何が起こるか考えてみてください。 先ずは強い打撲が起こります、関節周囲であると捻挫
脱臼を導く強い介達外力が伝わり組織を挫滅します。さらに力が骨に伝わり骨折を起こすのです。
結論は骨折と診断されたときは、骨以外の組織もかなり損傷を受けているのです。
数か月経過して医師から骨はよくなりましたと治療を終了しても、多くの方が不自由さを残したまま悩んでいるのが現状です。

〇第五中足骨骨折
内科で貧血を起こし転倒 安静後立ち上がることができたので帰宅
翌日痛みを訴え来院されました。明らかに骨折の疑いがあるのっで
レントゲン検査を依頼し骨折を確認しました。
病院では通常長靴のようなギプスを巻き、週ごとに骨の状態をレントゲン検査して経過観察していきますが、高齢で足元も不安定なので簡単な副子(あてがう物)と包帯で固定しました。
毎日来院してもらい患部を清潔にし超音波と軽擦(軽くマッサージをして浮腫をとる)をしました。経過良好です。

〇前腕骨両骨骨折
グループホームに入所されている患者さんです。
介護者の手を振り払い自ら転倒し受傷しました。
応急手当をして整形外科に搬送
整復(ずれた骨を元に戻す)しシャーレで固定しました。
整復にはかなり痛みを伴うので医師の配慮により脇の下から神経ブロックをして整復しました。
今回の治療のポイントは
・認知症がある 状況を判断できない
・ストレスの軽減
・ホームに往診をして治療
当初患者さんは巻いたギプスを必死に取り外そうと、かなりのストレスを感じていました。
治療は施設で用意してもらう蒸しタオルとマッサージです。
毎回ギプスを外し 指の先 ひじの周り遠隔部位から徐々に行います。
ギプスも段階的に小さくして5週目を迎えるときは手首のサポーターのみとしました。
患者さんのストレスも減り、指の拘縮(硬くなり曲げ伸ばしに障害)もなく、骨折をしたことも忘れている
ようです。
レントゲンで新しい骨がしっかりできていることが確認できました。

○右橈骨尺骨骨折
中学生 野球プレー中、走塁者と衝突し受傷しました。
救急病院で検査し骨の転移(ずれ)があったので牽引(引っ張ってもとにもどす操作)し整復しました。
固定は二の腕から指先まで固定し手首は、かなり手のひら側に曲げられた状態でした。本人は圧迫感と痒みがあり、日常の衣服の着替えがかなり制限され母親と相談に来られました。
本来は柔道整復師が独断で処置を変更できないため、信頼できる整形外科医に依頼し骨折の状態を確認、今後の治療に同意してもらいました。
当院では肘を開放して、手首も鉛筆が握れる固定にしました。毎日来院してもらい局所に超音波療法と浮腫を取るための軽いマッサージ、指や肘の曲げ伸ばしをしました。
治療後は腕を清潔にして新しいネットと包帯で再度固定するので痒みやストレスから解放されます。二週間後は、骨折した部位の圧痛も消え手首もかなり自動運動できるようになりました。脅威の回復力です。
肘から手首までのギプス→肘から手首の固定に変更→二週間折れた所の圧痛消失→さらに半分の固定
毎日皮膚を清潔にして包帯交換をするので、ストレスを軽減と痒みから解放されます

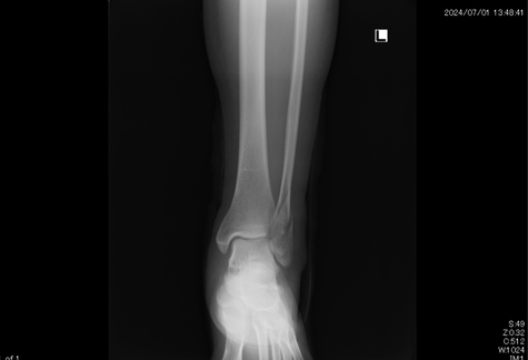
○右腓骨骨折
段差で足首をひねり下腿の二本からなる細い方の骨が折れてしまいました。受傷翌日には皮下に真っ黒な皮下出血と腫れが認められます。
一般的に整形外科では膝下から指先まで長靴のようなギプスを巻きます。ギプスの底にはヒールと言ってゴムの踵のようなものをつけます。寝る時も着けっぱなしなのでストレスがたまります。皮膚が痒くなるばかりか悪臭もしてきます。
整骨院では昔ながらの固定法で、毎日ギプスを外し浮腫を取るマッサージ、皮膚の衛生管理、超音波による骨癒合を促進させます。
ギプスを外してからリハビリでなく、受傷日からリハビリにより回復をはやめます。

●右第3中手骨骨折
中学2年生 ラクビープレー中に骨折をしました。
当初、整形外科の診察を受けギプス固定をしてもらいましたが、
ボクシンググローブのような大きなもので、しかもギプスが皮膚を圧迫していたので当院に相談されました。
3週間後には大事な試合が待っています。
提携の整形外科で再度レントゲン検査をしてもらい転移(骨のずれ)がないことを確認し小さな固定にかえました。
毎日来院してもらい超音波治療とマッサージをしました。
2週経過した頃から圧痛(折れたところを押したときの痛み)は消失し、なんとか試合に間に合いました。
念のためさらに1週間来院してもらい治療を終了しました。

○ 左鎖骨骨折(ひだり さこつ こっせつ)
受傷し救急病院で手術を勧められたが本人の希望により当院で保存療法(無血療法)治療
骨が段違いに転位していますが、胸郭を広げ腕の重さを軽減させる固定で一か月後には局所の圧痛消失。
特に10代の骨折では転位(連続性が失われた)があっても成人になる頃には骨折した場所がわからないほど
自家矯正しますので無理に手術をしなくても良い結果が得られるでしょう。
上記の症例では毎日包帯の交換 浮腫の除去 清拭 下着の交換し、患者さんのストレスを取り除きました。
経過もよく2か月後は通常の生活に復帰されました。肩関節の拘縮(固まる)は全くありませんでした。
○鎖骨骨折(病院で手術)
病院で手術を受けました。 鎖骨に金属のプレートを取り付ける固定をしました。
一年以上たっても肩が水平にも挙げられず痛みと不自由な生活を強いられ当院に相談に来られました。
病院では特にリハビリもなく自分でよく動かしなさいと指示があったそうです。
週に2回 温熱療法と医療マッサージを施し、同時に筋力強化により、
現在では肩が挙がるようになり仕事にも支障がなくなりました。
○ 鎖骨骨折
10代の鎖骨骨折は驚くほど早く治ります。骨がずれていてもしっかりと新しい骨が広がり、しかも屈曲していた骨は成人になるまでに自家矯正し過去に骨折した形跡が分からないほどになります。
病院ではメスを入れプレートやビスで止める手術がありますが、手術痕は一生取れません。
バスケットボール部に所属する彼は肩から転び骨折しましたが、2週間もすると骨折した部分の圧痛もやわらぎ1か月半で復帰しました。若く代謝もよいので毎日体を清拭して、きれいな下着に着替えさせました。もちろん包帯も固定具も洗濯し毎日気持ちよく過ごせるようにしました。
○鎖骨骨折
当院で治療を希望されたので「ほねつぎ」(整骨院)の治療法をほどこしました
レントゲンは病院に依頼 骨折の位置を確認 医師と相談し保存的(手術をしない)に経過を
観ていくことにしました。 ご覧の通り内出血が胸にまで広がっています。
骨折部は微量な超音波刺激を当てることにより癒合が早まるといわれています。
毎日体を清拭(体をふく)清潔な包帯で固定 同時に下着を着替えます。固定期間中でも
毎日気持ちよく過ごせます。病院ですとほとんどギプスをしている期間は体をふくことすらできないようです。
病気もケガも気分の良い状態を確保することが大切だと思います。
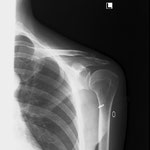
○左上腕骨骨頭骨折(じょうわんこつこっとうこっせつ)
スキーで肩から転倒 上腕骨の根元が折れた症例です。
受傷後間もなく出血は肩周囲 特に腕の内側に内出血が広がっていきます。
整形外科にてレントゲン確認後同意のもと治療を進めました。
骨折線は複雑にはいっていますが、関節には及んでいないため
固定はシンプル 三角巾と胸を固定するバストバンドのみで
毎日通院してもらい超音波治療 周囲の血行維持により1か月半で趣味の
ソシアルダンスができるようになりました。
○右上腕骨脱臼骨折
お酒を飲みすぎ転倒、翌朝激痛に目がさめ来院しました。診察したところ通常の肩の関節形状と違うのですぐさま脱臼
していることがわかります。柔道整復師は骨折、脱臼の応急処置は医師の同意なく治療ができるので、整復を試みました。関節は正常に戻されましたが、合併症として骨折も疑わしかったので整形外科にてレントゲン検査をしました。
やはり上腕骨の根本 頸部骨折が確認され固定をしました。病院では金属のプレートをビスで止める手術を行いますが、
当院では三角筋と胸部固定帯で固定。毎日通院してもらい、浮腫や出血を散らす治療 お風呂に入れないので体を清拭
来院時にはきれいな下着を持参してもらいその都度交換し再度固定しました。関節の硬縮とうで数か月かかると思われましたが一か月目には局所の痛みも消失し2か月もしない内に復帰されました。手もよく挙がるがるようになりました。

○上腕骨骨折 病院で手術をした最悪なケース
病院で手術をしました。リハビリもなく何か月も経過しても手が挙がらず苦労されていました。
当院に相談され診察したところ、疑問を感じ他の整形外科でレントゲンを依頼しました。
案の定 手術したプレートが折れ骨折したところも離れていました。骨の折れ方にもよりますが保存的治療では無理だったのかと悔やまれます。この方は他の病気でお亡くなりになりましたが、非常に残念です。

○上腕骨骨幹部骨折
二の腕を骨折してしまいました。救急で運ばれましたが、直ぐに処置はなく一週後に手術を受けました。骨にボルトを埋め込み固定する大手術です。
当患者さんは三週間が過ぎたころ、「痛みで夜まったく眠れない、痛み止めも全く効かない、
どうにかして下さい」と訴えて来られました。
見ると肘の周りが、かなりうっ血していて前腕の筋肉もコチコチになっていました。肩の関節の可動域もかなり制限されていました。当院ではまだ新鮮な術後だったので骨折部には触れず周りの皮膚を軽く軽擦(マッサージ)して、血腫には超音波治療をしました。するとみるみる痛みが軽減し夜も眠れるようになりました。整形外科の先生方は最新の治療で処置してくれますが患者さんの日常の苦しみにあまり耳を傾けてくれないようです。
子供が膝小僧をぶつけ泣いている時にお母さんは何をしますか?「痛いの飛んでけ・・!」て言いながらやさしく摩ってくれるませんか? 新鮮外傷はマッサージするな! 消炎鎮痛剤をだしましょう!これでは話がおかしいですよね? まさしくこの患者さんの例も同じで、周りをやさしく摩ってあげればかなり苦しみから解放されるのです。

来院時
手術後三角筋で固定 肘の周りに血腫(血が固まり)があり前腕の筋肉もカチカチになっていました。
また血腫による前腕部の圧力のためか神経麻痺の症状がありました。
前骨間神経麻痺と言って親指と人差し指の第一関節が屈曲できない症状です。
主治医さんに相談された方がいいですよ、とお伝えしましたが先生からの返答はなかったそうです。

ティアードロップサインと言って親指と人差し指で水滴の形ができない状態が陽性です。
前骨間神経麻痺を疑います。
軽く軽擦するだけでみるみる肌の色が良くなってきました。
○前腕骨遠位端骨折
道でつまずき転倒。骨折の応急(柔道整復師は医師同意なく応急処置ができます)処置後レントゲンで検査をしました。
1か月固定しましたが毎日、指のマッサージ、肩周りのマッサージをしていたので関節が固まることなく非常に良くなりました。高齢で骨折をすると固定により骨折以外の関節の拘縮(動きが悪くなる)筋力低下の加速がみられるので毎日通院してもらいました。
固定期間でも、むくみを取り血行をよくすることが悪循環を作らず早期回復に繋がるとかんがえています。
病院で骨折の治療をしていて再診のたびにレントゲン検査だけですと良くなるとは思えません。是非相談してください。
○ 小児若木骨
子供の骨はやわらかく骨折しても自家矯正も盛んです。レントゲンも取らず簡単な固定2週間ほどで痛みも軽減、一か月もしないで治癒しました。このような骨折でも何度もレントゲン検査するのは理解できません。
子供にはあまりレントゲン検査による放射線の被爆は避けたいものです。
当院では骨折が疑わしくても安静の処置を1,2週間するだけで良くなるような症例はレントゲン検査は依頼しません。
「骨には異常ありません」と安心するのでなく被爆を恐れましょう。

○前腕骨遠位端骨折
10代のサッカー少年です。転倒して手首の骨折をしてしまいました。
通常ですと、この程度の骨折では肘から手首までを固定をしますが、救急病院の先生は二の腕から指先までガチガチに固定してくれました。
実はこの子供はアトピー性皮膚炎で日常痒さと闘っています。
ギプスにより皮膚に手が届かず、あまりの辛さにお母さんに何とかしてと頼み、
インターネットで調べ来院しました。
○前腕骨開放骨折
たいへん痛々しい写真で申し訳ありませんが、
非常に注意の必要な骨折です。骨折した骨が皮膚を突き破り出血したもので
開放骨折(複雑骨折)と言います。感染症の予防のため12時間が勝負です。
緊急で医師に連絡。病院で入院し手術で固定し抗生剤を点滴しました。骨折のヒビが関節面に及んでいたため
鋼線を刺して強固な固定をしました。手術をして二週間で退院しましたが、そこからリハビリ開始です。
当然ギプスもしているので肩が凝る、背中が痛い、指がしびれるなど悪循環が生まれるので周りから徐々に
マッサージをしていきます。指も動かします。
ギプスが取れて、手首にはまだ1本の鋼線が入ったままですが、ほねつぎの魔法の粉「タルク」
で優しくマッサージします。最終的には一年治療しましたが、どの指も手首の関節も拘縮(固くなる)なく
治癒しました。

○ 尺骨茎状突起骨折
一時間前の自転車で転倒し来院しました。
腫れと変形は認められませんでしたが、手首の小指側の出っ張りに痛みと掌を返すことができませんでした。
ハンドルを握ったままだったので、おそらく手根骨(手の石ころの様な骨)が衝突し尺骨の茎状突起が骨折を起こしてしまったようです。レントゲン検査を依頼確認したところ予想道理の部位に骨折を起こしていました。
固定は手首だけ固定し毎日包帯交換と超音波治療をします。
以前この患者さんは反対の手首を骨折しましたが、整形外科で約一か月ギプスで固定され痒さと臭さで苦労したそうです。当院では毎回固定を外し皮膚の消毒 浮腫の除去に努めるので楽に生活できます。
○ 左踵骨骨折(かかとの骨の骨折)
踵の骨折です。脚立から飛び降りた時に受傷しました。レントゲンでは踵骨が割れるように折れています。
通常ですと足の指先から膝まで大きなギプスの固定になりますが、当院で踵に負荷がかからないように土踏まずで体重を支える工夫をしました。これにより歩行が可能になり自宅では松葉つえなくして動き回ることができました。4周経過したころに踵のカップをつくりサポーターで固定、これにより血行もよく足関節の拘縮(固くなること)や
ふくらはぎの筋肉萎縮(細くなること)を防ぐことができました。

○ 脛骨高原骨折(プラトー骨折)
足を強く地面についた際に体の重みと下から突き上げる力により膝の関節周囲に骨折を起こします。
ちょうど土手が崩れるように折れています。通常は手術によりボルト打ち込み固定しますが、運よく関節面が維持されているので保存的(手術をしない)に治療することができました。
当初は関節内の骨折のため腫れがつよく安静処置が必要です。膝を包むような副子を作り包帯で固定。毎日当院の送迎により来院してもらい、湿布の交換、骨折部位の超音波治療、医療マッサージを施し現在も治療中。
○前腕骨不全骨折
不全骨折とはレントゲンで骨の表面に疑わしい膨らみやキズがあるものを言います。骨折の鑑別は骨に沿って限局性圧痛(一か所強く押されて痛むところが)あります。柔道整復師はレントゲンが使えないので周りをよく観察し触診で判断してきました。患者さんがどのように転んだか、皮膚の出血 圧痛の部位により骨がどのような状態かが分かります。
また骨折の経過観察も触診でどの程度良くなってきているかも判断できます。
病院で毎回再診を受けるたびにレントゲン検査をして「順調です」と言われ安心できますか? 自分が骨折したら最初と1.2週間後で十分です。

○前腕橈骨頭骨折
転倒し地面に手を着きました。
通常は手首を骨折するところですが、少し離れたところ肘に骨折を起こすことがあります。突き上げられた力が橈骨(前腕の二本のうちの一つ)の頭を傾けてしまいます。転んだ状況と肘の圧痛部位をよく触診すると骨折してることが分かります。保存的に治療できるか整形外科の先生に相談し治療しました。
3週間の固定期間も毎回包帯と固定具を外し浮腫を取り除き皮膚を清潔にしてから再度固定。同時に下着もかえました。
約一か月半でほぼ日常生活に支障がなくなりました。
○第5中足骨骨折
足首をねんざした時に同時に起きる骨折です。
昔から「げた骨折」と呼ばれたもので、当時は下駄のひもが切れた時足の外側が地面に叩き付けられたために骨折したからでしょうか・・?今でも「げた」言えばこの骨折意味します。 整骨院でもよく扱う骨折です。
通常整形外科では足の指先から膝下までのギプスをまき足底にヒールと呼ぶゴムパットをつけます。
ただこのギプスは外も家の中も常にブーツを履いた様なもので、しかもヒールが片方だけにあるので
非常に歩きにくいものです。簡単に言えば片足に10センチのヒールのあるブーツ、片方は裸足といった具合です。
また一ヶ月ほど固定するので夏などは想像したくありません。私も整形外科勤務時はこのギプスを患者さんに巻いていましたが、取り外すときは息を止めてギプスカッターを使用していました。(くさ~)
当院ではブーツの様なギプスは巻かず、副子を外からかぶせ包帯で固定します。
毎日固定は外し患部の清拭、浮腫の除去、動かせる関節は早期からリハビリ。これにより患者さんは気持ちよく過ごすことができます。固定期間からリハビリを開始するので関節の拘縮も防ぎ早期回復につながります。

○第五中足骨骨折
当患者さんは4か月前に病院で手術を受けました。
病院ではリハビリは自分で動かすようにと言われ何もしてくれませんでした。再診ではレントゲンの観察だけで当院に来院した当初は足のむくみ、指の屈曲制限と骨折部位の痛みで靴が履けませんでした。
医療マッサージによりむくみを散らし、同時に骨盤の矯正もすることにより腫れと痛みは徐々に退き治療4週間で以前のように復帰することができました。
上記にもご紹介した足の外側の骨折は、足をひねった(捻挫)時によく合併する骨折です。足首を捻挫し1時間もしない内にパンパンに腫れ翌日にはどす黒い色が皮膚に現れれば
まずこの様な骨折を疑ってよいと思います。
ただ長い経験上、ほとんどが保存的(手術なし)で治療できるので、病院で手術を勧められたときは町の整形外科医か整骨院の先生に相談してみてください。
一般的に手術のできる病院は、どういうわけかプレート固定、ビス止めとうの観血治療(手術療法)を選択する傾向がありそうです。
当初は足部は浮腫と血行障害によりどす黒く足背部の血管も見えませんでした。手術傷口も紫色に膨らんだ瘢痕を残していましたが、マッサージを施し徐々に血色もよくなりきれいになりました。

○ 肋骨骨折
胸郭を覆っている肋骨は硬い骨の部分と柔らかな骨の部分(軟骨)の二つからなっています。
転び方や外力のかかり方で、おおよそどこが損傷しているかが分かります。
自転車で転倒した時にハンドルが胸に当たった場合、つまずいて転倒し自分の腕が地面と挟まれた場合、交通事故で外力が直接加わった場合は固い骨の部分に骨折が起こります。
また、くしゃみや強い咳で筋肉に強い収縮が起こった場合、満員電車で圧迫された時、マッサージで強く圧迫された場合は軟骨と固い骨のつなぎ目にずれを生じ、強い痛みになります。
受傷して2週間は体位を変えたり、咳き込んだりするだけで痛みが強く辛いですが4週間もすれば安定してきます。
肋骨骨折はレントゲンでは確認できない場合も多いいです。一般的には整形外科では胸部の固定帯と痛み止めを
処方するだけですが、 当院では早期からマイクロアンペアー(治癒を促進する弱い電流)と超音波(弱い出力)をあてがい軽く消炎鎮痛剤を塗りこみます。やはり患者さんにとってはかなり楽になるようです。

○肘頭骨折
肘を着いて転倒 超音波検査で骨折が確認できたので病院を紹介しました。
肘の頭と書きますが、ここが折れると手術摘要です。筋肉の影響で骨折した部分が離れようとするからです。
手術後は当院に通ってもらい肘に超音波をかけました。超音波の微量な刺激を骨折部分に当てると骨の癒合が早まると見直されています。 同時に温熱療法 マッサージも施しました。予後は大変良かったです。
○脊椎圧迫骨折
年齢を重ねると骨も変化していきます。高齢で突然腰が痛み、寝返りができなくなる場合、骨粗鬆症による
圧迫骨折が考えられます。特に尻餅を着いた時などは、かなり確率が高くなります。整形外科で圧迫骨折と
診断されると大変なことになってしまったと驚かれると思いますが、骨折というもの一ヶ月もしてくるとほとんどの方が痛みから解放されていきます。
もちろんレントゲンでは潰れた骨はそのままですが、かなり良くなります。
大切なのは安静期間中に悪循環を作らないように経過観察 治療が必要だということです。
中には入院し自分の生活スタイルから極度に制限されるために痴呆に進んでしまう方もいます。
トイレは大変ですが誰か家族の者がいれば自宅で療養するほうがよいでしょう。/
当院では往診でお伺いし患部の血行促進、動かせる他の関節を運動させることでかなり早い復帰が期待されます。
○ アスリートの骨折 ラクビー部
日々ハードな練習と試合をこなしている学生の症例です。
今回は足関節を捻挫して来院しましたが、腫脹(はれ)が強くレントゲン検査を依頼しました。
足首の捻挫に伴う骨折は認められませんでしたが、過去に何か所も骨折をしていたことが判明しました。
親指の種子骨と言われる石ころの様な骨が割れています。第3中足骨が骨折しています。くるぶしの外側の
外果(がいか)に小さな骨の破片があり、やはり骨折です。
スポーツの現場では休むことができません。一般人であればギプスをして一ヶ月休めばよいのですが、短い学生生活の中でシーズンもやはり短いものです。この症例の様にギプスも何もしないで痛みが取れてしまう骨折もあります。
限られた時期に選手の意向をよく把握して過剰な処置ひかえて、できる限り早期に運動ができるように心がけています。
ギプスをして「休んでください」と言うのは簡単ですが、学生選手には引退を宣言させるのと同じです。
限られた学生生活で後悔しないよう最大限の工夫を常に考えています。
○ 学生アスリート 手首の骨折
手を突くとおおよそ骨折するところが決まってきます。
橈骨遠位端骨折と言って手関節のすぐ上のところが骨折します。みなさんは骨折と診断されると痛みは骨だけからくると思いがちですが、実は手を突いた時に手関節の捻挫も起こしています。靱帯や軟部組織が壊され、さらに力が骨に及んで骨折をおこします。今回は確かに骨の圧痛とレントゲンは陽性でしたが転位はなく、どちらかと言えば捻挫による痛みが強く思われたので手首だけを簡単な固定にしました。また取り外しできるように工夫しました。
通常病院ですと肘から指まで一ヶ月固定するでしょう。
この程度の固定ですとストレスもなく当然お風呂は固定を外し入ってもらいました。一ヶ月しないで復帰しました。
○ 学生アスリートの骨折 ラクビー部
左第2中手骨骨折
中手骨(ちゅうしゅこつ)が縦にねじれるように骨折していますが、骨折している部分が広いほど癒合しやすいともいえます。
上の症例と同じように取り外しできる固定を二週間しました。
早期から骨折部位に微弱な超音波をあて軽度のマッサージを施しました。
当然練習は休まず参加!恐るべし・・・元気のあるアスリートでした。